Les Mitochondries

 

microscope électronique x 190920

Copyright Dennis Kunkel Microscopy

 

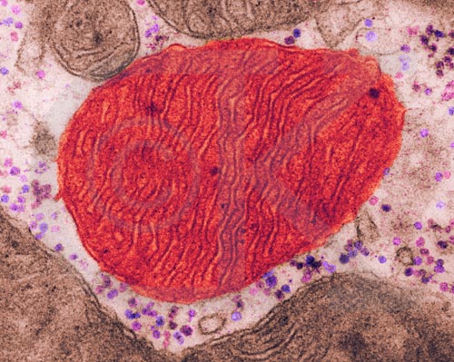
Les mitochondries sont des organites assez particuliers. Ils juent un grand rôle dans la vie des cellules ( et dans celle de l'organisme dans son ensemble ). C'est principalement dans les mitochondries qu'a lieu la respiration qui permet à la cellule de produire l'énergie qui lui est nécessaire en oxydant divers nutriments. On peut distinguer sur cette photographie la membrane externe qui limite la mitochondrie mais aussi la membrane interne qui forme des replis.

Notez également la présence de très petits organites, colorés ici en rose et violets, qui sont des ribosomes. image en fausses couleurs

 

 

 

Site personnel de Dennis Kunkel

Page d'accueil